Liver Enzymes Tell Tale in Hepatitis C Complications | Medpage Today

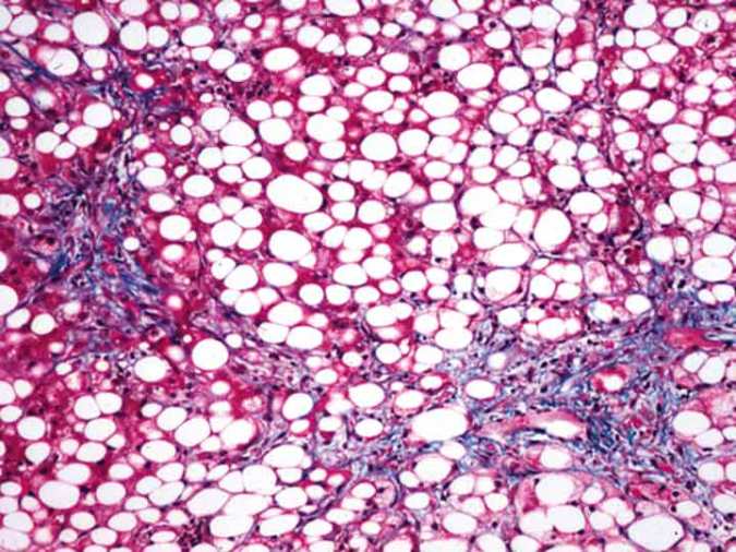
ALT/AST ratio could be useful screen for fatty liver complications

Source: Liver Enzymes Tell Tale in Hepatitis C Complications | Medpage Today

Leave a comment